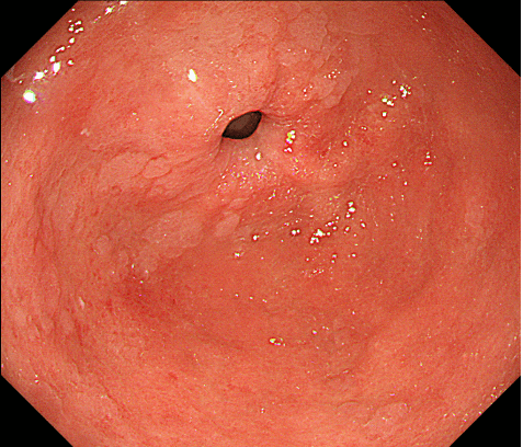
萎縮性胃炎とは、胃の表面の粘膜が慢性的な炎症によって徐々に萎縮して薄くなっていき、本来の胃の粘膜の機能が低下した状態のことです。胃粘膜からは胃酸・消化酵素などが分泌されていますが、萎縮が進むとこれらの分泌能が低下するなど様々な問題が生じてきます。
原因として最も重要なのが、ピロリ菌(ヘリコバクター・ピロリ [Helicobacter pylori, H. pylori])感染です。ピロリ菌は胃粘膜に慢性的な炎症を起こし、長い時間をかけながら萎縮性胃炎が進行していきます。これは別名B型胃炎ともよばれ、本邦では中高年層を中心にピロリ菌感染率が高く、ピロリ菌による萎縮性胃炎は非常に頻度の高い疾患です。
萎縮性胃炎



