逆流性食道炎(胃食道逆流症 [GERD])・食道裂肛ヘルニア
〒136-0071東京都江東区亀戸2丁目36−12 エスプリ亀戸ビル 4階
03-6807-0237
逆流性食道炎(胃食道逆流症 [GERD])・食道裂肛ヘルニア

胃は酸を分泌することで、食物を消化・吸収する手助けをしています。そのため胃の粘膜は酸に強くできていますが、この酸が食道の方へ逆流してくると、食道の粘膜は酸に強くはないため傷付いて炎症を生じてしまいます。この炎症のことを逆流性食道炎といい、炎症を生じているかの有無にかかわらず、症状を生じている症候群を総称して胃食道逆流症(GERD)といいます。
もともと本邦には少ない疾患とされていましたが、近年は日本においても患者さまの数が増加してきています。比較的高齢女性に多いですが、男性や若年者でもよく見られます。
わたしたちの体の胸部と腹部は、横隔膜によって分けられています。通常は食道が食道裂孔で横隔膜を貫き、横隔膜の下で食道から胃に移行しています。しかしこの食道裂孔が緩んで胃の一部が胸部へ逸脱してしまう場合があり、この状態を食道裂孔ヘルニアといいます。
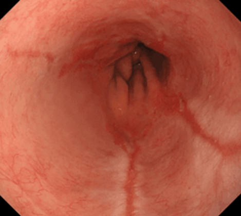
食道裂孔ヘルニアに伴った逆流性食道炎(LA分類グレードB)食道裂孔ヘルニアの状態になると、胃の近くの食道にある下部食道括約筋が緩くなって胃酸を含んだ胃の内容物が食道側へ逆流しやすくなり、さらに胃への内容物の流れが滞ることも関連して(クリアランスの低下)、食道の下部を中心に酸による炎症を生じることになります。こうして逆流性食道炎が発生します。また炎症を生じるほどの酸の影響がなくても症状だけは生じることもあり、これには胃食道逆流症の一部が該当することとなります。
これが直接的な原因ですが、ほかにも間接的な原因や炎症を修飾する要因としては、寝不足・ストレスなどでコルチゾルなどを中心としたストレスホルモンが分泌されることによって胃酸の分泌が促進されて食道へ逆流する量が増えたり、胃酸の過剰分泌によって胃の動きが落ちることによって酸が物理的に食道側へ戻りやすくなったりなどが挙げられます。ほか、飲酒・喫煙の習慣も胃酸の分泌量を増加させることが知られており、とくに喫煙はそれだけでなく下部食道括約筋を緩ませ、唾液分泌も低下させるため、複合的に逆流性食道炎を悪化させる因子として知られています。
原因のひとつとして、本邦の衛生環境の改善によるピロリ菌感染率の低下があります。ピロリ菌に感染すると何十年もかけながら徐々に胃の粘膜の萎縮が進み、胃酸の分泌が低下していきます。そのためピロリ菌に慢性感染している場合は、食道に酸が戻ったとしてもその量は少なく酸性度も低く(pHが高く)、食道の炎症や症状を生じにくくなります。このピロリ菌に感染している方の割合がこの30~40年で徐々に低下してきているため、酸分泌の多い方の割合が増加し、それとともに日本人においての逆流性食道炎・胃食道逆流症(GERD)患者さまが増えてきています。
そのほかの原因としては、食生活が欧米化してきたことで肉類・脂肪分の摂取が増え、胃酸の分泌量が増加し、胃内の食物滞留時間も延長することで、食道に酸性度の高い逆流が生じやすくなったことがあります。また食生活の欧米化は肥満率を上昇させ、内臓脂肪の増加による腹圧の上昇を生じることも逆流の発生要因となります。あと近年は多忙な方が増えたことによって、夕食後すぐに横になる人が増えてきたことも原因の一端を担っています。胃内に多量の食物がある状態で横になると、食道の方へ食物が戻りやすくなります。また平均寿命が延びることによって高齢者が増えていることも原因となっており、脊椎圧迫骨折での背骨の後弯によって腹圧が上昇して食道裂孔ヘルニアを生じたり、その後弯によって前かがみになることによって酸が食道側へ戻りやすくなったりすることなどが関係しています。
逆流性食道炎・胃食道逆流症(GERD)の症状はとても多彩で、個人差も大きいものとなっています。ひどい炎症があるのに症状がまったくない方がいる一方で、炎症はないのに強い胸焼けや喉の詰まり感が頻発する方もいて、症状の出方は本当に人によって様々です。よくある症状としては、以下のようなものが挙げられます。
胸やけ
胃酸が食道を刺激することで、胸が焼けるような痛み・締め付けるような感じ・違和感などを生じます。
前胸部の詰まり感
飲み込んだ際に胸の部分でつかえるような症状を感じることもあります。
呑酸(どんさん)
胃酸が喉元まで上がってくると、口の中が酸っぱい感じがしたり苦い感じがしたりすることがあります。
喉の違和感
酸が戻った影響で、喉の詰まった感じがしたり、飲み込みにくさを感じたり、声が枯れたりすることもあります。
咳嗽(せき)
胃酸の刺激で咳が出やすくなり、その咳のせいで腹圧が高まってさらに酸が逆流しやすくなります。これによって咳と酸逆流はお互いの増悪因子となるため、これらが相互に増悪させ合う悪循環に陥ることもあります。そのため気管支喘息と逆流性食道炎は密接な関連があるとされています。
食欲低下・体重減少
症状によって食欲が低下したり、それに伴って体重が減ったりすることもあります。
黒色便
逆流性食道炎が強くなると炎症から出血を生じ、その出血が胃酸によって酸化されて黒い便が出ることがあります。
胃カメラ(胃内視鏡検査)が、逆流性食道炎・胃食道逆流症(GERD)・食道裂孔ヘルニアを診断する上で最も役立つ検査となります。胃カメラでは食道裂孔ヘルニアの程度から食道への酸の戻りやすさが分かり、炎症がある場合はその程度や広がりなどを直接見ることができます。そのほか難治性の症状がある場合などでは、食道の括約筋の働きをみるための食道内圧検査や、一日のうちのいつどの程度の逆流があるかみるための24時間食道インピーダンス・pHモニタリング検査が必要となることもあり、その場合は特定の高次医療機関へ紹介させていただく形となります。
逆流性食道炎・胃食道逆流症(GERD)では、内視鏡的にその程度を以下のロサンゼルス分類(LA分類)でN~Dの6段階に評価します。
炎症が軽微で自覚症状がないようであれば、とくに治療の必要はありません。
自覚症状のある場合や、自覚症状がなくても炎症が強めの場合などでは、P-CABやプロトンポンプ阻害剤(PPI)といった酸分泌抑制薬(胃酸の分泌を抑えるお薬)を用います。これだけだと炎症・症状が残る場合には、消化管蠕動運動改善薬(消化管の動きを良くするお薬)や漢方薬の併用が有効な場合もあります。
生活習慣としては、夕食から横になるまでの時間を3~5時間程度空ける、右側臥位(右向きに横になること)を控える、可能ならベッドに角度を付けてヘッドアップの体勢で寝る、脂ものの摂食をとくに夕食で控える、過度のカフェイン・香辛料・炭酸飲料の摂取の制限、飲酒・喫煙を控える、規則正しい生活サイクルの習慣づけ、腹部を締めつけるような衣服を着用しない、ダイエット(とくに内臓脂肪の減量)、便秘の解消なども、症状の改善に効果的です。
ヘルニアの程度が強いなどで薬物療法での改善に乏しい場合には、外科的手術を要することもあります。手術療法は体への侵襲が非常に大きいため、他の治療法の有効性が乏しい場合においてのみで慎重に検討する必要があります。しかしながら最近では、内視鏡を用いて行われる逆流防止粘膜切除術(ARMS)や、さらに新しい治療法である内視鏡的噴門部粘膜焼灼術(ARMA)なども行われるようになってきています。
またやや病態は異なりますが、機能性胸焼け(食道の知覚過敏状態)が強く疑われる場合には、SSRIなどの一部の抗うつ薬が有効なこともあります。
グレードBの逆流性食道炎が…
プロトンポンプ阻害剤の投与で治癒。逆流性食道炎・胃食道逆流症(GERD)は、症状が続くことで不快であったり仕事に集中できなくなったりすることなどがあるほか、放置することでバレット食道の原因となり、それを発生母地としたバレット腺がんを生じることもある油断のならない疾患です。
胸やけや詰まり感、吞酸症状など、少しでも気になる症状がある際は、早めに消化器病専門医や内視鏡専門医の診察を受けるようにしましょう。受診によって適切な処方薬の内服治療、食生活・生活習慣の改善などによって快適な日常を取り戻せるだけでなく、将来的ながんの発生の抑制にもつながっていきます。
TOP