大腸ポリープ・大腸がん
〒136-0071東京都江東区亀戸2丁目36−12 エスプリ亀戸ビル 4階
03-6807-0237
大腸ポリープ・大腸がん

大腸ポリープは、大腸カメラを行っている際に最もよく見られる非常にありふれた疾患です。大腸の粘膜表面の上皮細胞が増殖して隆起しているもの全体を総称したものを、大腸ポリープとよびます。そのため大腸ポリープには様々な種類があり、大きく分けると腫瘍性のものと腫瘍性ではないもの(非腫瘍性)とがあります。
腫瘍性ポリープの多くは良性の腺腫とよばれるものですが、一部の初期の悪性腫瘍である大腸がんはこの腫瘍性ポリープに含まれます。
非腫瘍性ポリープの多くは、過形成性ポリープといわれるもので、大腸の遠位であるS状結腸~直腸にかけて多発することがよくあります。そのほかにも炎症性ポリープや、若年性ポリープ・Peutz-Jeghers型ポリープなどを含めた過誤腫性ポリープなども、非腫瘍性ポリープの一種です。
そのほか、腫瘍性と非腫瘍性の境界ともいえる曖昧なポリープもあり、これにはSSL(SSA/P)が該当します。以前はSSA/Pの呼称が一般的でしたが、最近ではWHO分類の改訂にならい、本邦でもSSLの呼称が多く用いられるようになってきています。細かいことをいうと、病理学的にはSSLはSSA/Pよりもやや広義の意味合いとはなりますが、ややこしい話になってしまうためここでは省略して、SSL≒SSA/Pだと理解していただければ十分かと思います。SSLは前がん病変ともなるため腫瘍性病変として扱われることもありますが、生検組織診断分類上は、Group 2(腫瘍性か非腫瘍性か判断の困難な病変)とされています。
大腸過形成性ポリープ(右はNBI併用拡大観察像)
大腸腺腫(右はNBI併用拡大観察像)
SSL(右はNBI併用拡大観察像)
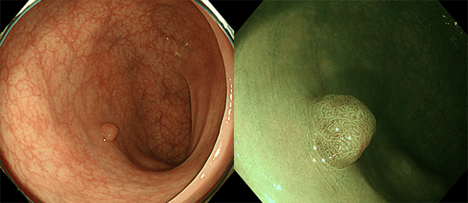
進行大腸がん(右はNBI観察像)
この病変のNBI併用拡大観察では、無構造領域内の大腸がんの多くは、良性腫瘍である腺腫が悪性化してがんとなったものです。この腺腫が悪性化してがんになるという経路を、adenoma-carcinoma sequenceといいます。
これに対して、正常粘膜から直接がんが発生することをde novo発がんといいますが、この頻度は決して高いものではありません。
さらに第3の発がん経路とされているのが、serrated pathway(serrated neoplastic pathway)です。これはSSLががん化したもので、SSLからそのままがん化することも、病理学的な腺腫様の形態を経てからがん化することもあります。
そのほか非腫瘍性のポリープであっても、若年性ポリープやPeutz-Jeghers型ポリープは、頻度は低いですががん化することはあり要注意です。
ほか、潰瘍性大腸炎などの炎症性腸疾患による慢性的な炎症が発がんの原因となる、colitic cancer(colitis-associated cancer)というものもあります。
一般的な大腸がん発生のリスク因子としては家族歴の影響は大きいとされており、親族に大腸がんの方がいると、そうでない方に比べて明らかに大腸がんになりやすいことが分かっています。次いで飲酒・喫煙も、大腸がん発生に与える影響は比較的大きいとされています。また食生活の欧米化、とくに肉類の摂取量が多いことは大腸がんの発生のリスクとされていて、とくに牛肉はそこまでの量でなくても習慣的な摂食でリスクが上昇します。一方で豚肉はよほど過量でなければあまり影響はなく、鶏肉はリスクに関連なし、魚は多く摂取するとむしろ大腸がんが減るという研究結果が多いです。また加工肉(ハム、ソーセージ、ベーコンなど)は肉類ということに加えて、その添加物や加工過程での変性で大腸がん発がんリスクがさらに上昇するとされています。以前は保存料として用いられていた亜硝酸塩が明らかな発がんリスクとなっていました。
一方で近年は亜硝酸塩を用いていない加工品が増えていますが、それでも(亜硝酸塩が入っていなくても)加工肉は大腸がんの発がんリスクとされており、その機序の詳細については正確にはよく分かっていないというのが実情です。そのほか、肥満、運動不足なども大腸がん発生のリスクとなります。
日本人の大腸がんの発生率は増加の一途をたどっており、がん種別の罹患数(1年で大腸がんと診断される人数)は男女合計で胃がんを抜いて第1位となりました。2020年のがん罹患者数の順位と、2023年のがん死亡者数の順位は以下の通りです。
| 1位 | 2位 | 3位 | 4位 | |
|---|---|---|---|---|
| 男性 | 前立腺がん | 大腸がん | 肺がん | 胃がん |
| 女性 | 乳がん | 大腸がん | 肺がん | 胃がん |
| 男女合計 | 大腸がん | 肺がん | 胃がん | 乳がん |
| 1位 | 2位 | 3位 | 4位 | |
|---|---|---|---|---|
| 男性 | 肺がん | 大腸がん | 胃がん | 膵臓がん |
| 女性 | 大腸がん | 肺がん | 膵臓がん | 乳がん |
| 男女合計 | 肺がん | 大腸がん | 膵臓がん | 胃がん |
本邦の大腸がん患者は過去20年で倍近くにも増えており、現在日本で最も増加の割合が多いがんとなっています。大腸がんは、30代までではその発生はかなり少ないです。40歳以上になると徐々に増加し、50代以降も年齢を経るごとにその発生率は徐々に上昇していくため、中高年ほど注意が必要な疾患であるといえます。
大腸ポリープのほとんどでは、症状はありません。肛門に近い部位に大き目で血流の多いポリープがある場合は、出血することによって便に血が混じることがあるため、それが発見の契機となることがあります。
大腸がんも、まだ早期のうちは無症状であることがほとんどです。しかしがんが進行して増大してくると、腸管内腔の狭小化や出血を生じたりするため、以下のような症状が出てくることがあります。
便通異常
腫瘍が増大して腸管内腔が狭くなることで、便秘を来しやすくなり、ときに便秘・下痢を繰り返すこともあります。肛門まで距離のある盲腸や上行結腸などではまだ便が軟らかいため比較的生じにくいですが、肛門に近いS状結腸がんなどでは便が硬くなってくるため、このような狭窄に起因する症状が生じやすくなります。ほとんど通過しなくなると大腸閉塞を来すこともあり、その際には嘔吐などの症状が出てくることもあります。
放屁の増加・臭いの変化
がんが大きくなり便の通過が滞ることによってガスの組成が変化したり量が増えたり、便に血液が混じったりすることによって、おならが増えたり臭いが変わったりすることがあります。
腹部の張り感・腹痛
これも便の通過障害に起因していることが多いですが、がんの腸管外への浸潤によって腹痛を生じていたり、がん性腹膜炎に起因したがん性腹水によって張り感が出ていたりすることもあります。
腹部のしこり
がんは硬いため、腹部を触れた際のしこりとして感じられることがあります。とくにがんによって痩せてくると、より認識されやすくなります。
血便
がんは正常粘膜に比べて脆いため、便の流れによる物理的な刺激などによって容易に出血します。比較的肛門に近い直腸やS状結腸などからの出血では割と鮮やかな赤い血液として認められやすく、肛門から距離のある盲腸や上行結腸などからだと赤黒い色として見られることが多いです。
体重減少
がんの進行に起因した食事量の低下や、悪液質による代謝の変化などによるエネルギー消費の増加などによって生じます。
疲れやすい・めまい
がんの進行による出血や栄養障害などが原因となって貧血を生じると、疲れやすくなったり、めまいが生じたりすることもあります。
大腸ポリープのほとんどは、大腸カメラ(大腸内視鏡検査)によって見つかります。注腸検査やCT colonography検査が発見契機となることもありますが、いずれもある程度の大きさの隆起性病変として認識されるにとどまります。そのため、どのような種類のポリープでそれが治療を要するものであるのかなどは、大腸カメラ検査を行わないとはっきりしません。さらに大腸カメラだと、ポリープが見つかった際に多くの場合でそのまま切除することが可能という点も大きなメリットであるといえます。
大腸がんにおいても、注腸検査・CT colonography・通常のCT検査などによって見つかることはありますが、確定診断には大腸カメラで観察した際に生検で採取した組織を病理学的に評価した、病理組織学的診断が必要となるため、本疾患における大腸カメラの果たす役割は非常に大きなものであるといえます。
このほか、がん検診としての便潜血検査(大腸がん検診)は、大腸がんのみならず大腸ポリープなどの他の疾患の発見契機としても、その役割は重要です。詳しくは下記をご参照ください。
大腸がんと診断された後、病変の広がりやリンパ節転移・遠隔転移(他の臓器などへの転移)の有無を評価するために行われるのが、造影CT検査をはじめとした画像診断です。大腸がんでは大腸カメラ検査と画像診断を併せることで臨床病期を評価し、これらによって治療法を決定していく形となります。
大腸ポリープの中でもがん化する可能性のあるものや、早期大腸がんのうちでも比較的浅いところにとどまっていてリンパ管・血管への侵襲のない病変などが、内視鏡的切除のよい適応となります。
がん化していない病変で小さいものは、大多数が金属性のスネアで物理的に切除するコールドスネアポリペクトミー(CSP)で治療することができます。CSPは消化管に孔が空いたり、後から出血したりといったリスクがほとんどない非常に安全な治療法です。病変が比較的大きかったり、がんも否定できない所見を有したりしている場合などでは、やや侵襲のある通電を併用したホットスネアポリペクトミー(HSP)、粘膜の下に局注を行って病変を筋層から離した上で、スネアで通電して切除する内視鏡的粘膜切除術(EMR)などを行うこととなります。がんが疑われる場合は、病変の形状や大きさなどに応じてHSPやEMR、さらに大きな場合などでは局注を随時追加しながら粘膜を切開・剥離していく内視鏡的粘膜下層剥離術(ESD)といった治療が行われます。内視鏡的切除に関しては、以下もご参照ください。
内視鏡的に切除できない部位に局在している大腸がん(虫垂の中に大部分が入り込んでいるがん、憩室内がんなど)や、早期がんでも一定以上に深い病変、進行大腸がんなどでは外科的治療が行われます。かつては開腹での手術が主体でしたが、近年では腹腔鏡下手術、さらに低侵襲なロボット支援下手術も多く行われるようになっています。局所進行や遠隔転移などで手術不能の場合には、全身化学療法(抗がん剤)での治療が行われますが、化学療法は外科手術後の再発予防を目的として行われることも多いです。また直腸がんでは肛門温存などのため、手術前の腫瘍の縮小などを目的として、化学療法にさらに放射線療法を加えた化学放射線療法が術前に行われることもあります。
大腸がんは、早期発見・早期治療で十分に治癒が目指せるがんです。このことは先述のがん罹患者・死亡者数の関係で、大腸がんの罹患者数が1位である一方で、死亡者数だと2位に下がることからもお分かりいただけるかと思います。
早期大腸がんの多くは内視鏡的切除で根治でき、また多少進んでしまっていても手術療法のみで治すことが可能です。しかし発見が遅れると手術侵襲はより大きく、また術後に化学療法が必要となり、さらに遅れると根治は難しくなって化学療法しか選択できなくなり、状況によっては緩和治療以外の手段がなくなっていってしまいます。
その一方で大腸がんは早期の段階ではほぼ自覚症状がなく、気づいた時には進行してしまっているケースも少なくありません。そうであるからこそ、定期的な大腸カメラ(大腸内視鏡検査)を受けることがとても重要となってきます。
さらに大腸カメラでは、がんになる前のポリープを内視鏡的に切除することも可能です。つまり大腸がんは、自ら罹患することを効率よく予防することができる数少ないがんであるともいえます。
とくに40歳を超えた方で、食習慣・生活習慣に不安がある方、ご親族に大腸がんの既往のある方、大腸ポリープを切除したことのある方では、定期的な大腸カメラがとても重要です。このようにリスクの高い場合や、症状のある場合などは、消化器病専門医・内視鏡専門医を受診していただけますと幸甚です。
TOP