潰瘍性大腸炎(UC)
〒136-0071東京都江東区亀戸2丁目36−12 エスプリ亀戸ビル 4階
03-6807-0237
潰瘍性大腸炎(UC)

潰瘍性大腸炎(UC)は炎症性腸疾患(IBD)といわれる疾患群の一疾病で、主に大腸粘膜にびらん・潰瘍を形成する病気です。原因としては、自己免疫反応の異常、腸内細菌叢の関与、食生活やストレスなどとの関連が指摘されてはいますが、詳しいところはまだはっきりと分かってはいません。また明らかな遺伝的要因は認められませんが、血縁者に潰瘍性大腸炎患者がいると発症リスクが上昇することは分かっており、家族内発生の多い疾患となっています。さらに本疾患は、非喫煙者よりも喫煙者の方が発症率が低いという、珍しい病気の一つでもあります。ほか、NSAIDsとよばれる解熱鎮痛薬や、バリウム検査などは増悪因子となることがあり、注意が必要です。
本疾患の特徴として、病変が直腸から口側へと連続的に広がっていくという性質があり、以下の3型に分類されます。
潰瘍性大腸炎の有病率は0.25%と決して高くはありませんが、年々患者数は増えてきており、この10年間でおよそ1.5倍に増加しています。20~30代での発症が最多と若年者で多い疾患ではありますが、若年者~高齢者まで幅広く発症し、70歳以上で診断されることも珍しくありません。
とくに誘因のない下痢として発症し、悪化すると膿を含んだ血便が見られるようになります。腹鳴・腹痛を伴うことも多いです。ただその一方で、軽度の直腸炎型の場合などでは、健診の便潜血検査(大腸がん検診)陽性で引っ掛かり、無症状のまま大腸カメラでみつかることも珍しくありません。重症化すると、発熱、貧血、体重減少などを生じてきます。炎症の増悪・改善に伴い、症状も悪化・寛解を繰り返すこともよくあります。そのほか、関節炎が随伴して関節痛が出ることもあります。
症状の経過から潰瘍性大腸炎が疑われた場合は、大腸カメラ(大腸内視鏡検査)を行い、生検で組織を採取してこれを顕微鏡で評価する病理組織学的検査を行います。これが最も重要な検査となりますが、感染性腸炎を除外するための直腸拭い液や便の培養検査も確定診断をつける上では必須となります。
そのほか、血液検査で炎症・貧血の程度・栄養状態などを評価したりします。また経過を追う上では、便中のカルプロテクチンというタンパク質の推移をみることで炎症の程度を評価することもでき、これを活用することで大腸カメラの頻度を減らすことが可能であったりもします。ただそれでも定期的な大腸カメラは必須であり、炎症の範囲・程度を評価するとともに、潰瘍性大腸炎に長く罹患していることで発症してくるがんであるcolitis-associated cancer(colitic cancer)をみつける上でも欠かせないものとなっています。
残念ながら潰瘍性大腸炎は完治する病気ではありません。そのため炎症を抑えて症状のない状態(寛解状態)を目指し、達成後はそれを保つことが、本疾患の治療の目標となります。ただ潰瘍性大腸炎は一度寛解してからも再燃する場合も多く、継続的な治療が必要となります。内科的治療で用いられる薬剤は、以下の通りです。
5-アミノサリチル酸薬(5-ASA製剤 [メサラジン製剤])
多くの場合で治療のベースとなります。メサラジンは炎症を改善する役割のほか、再燃予防として大変効果的なため、寛解導入だけでなく寛解維持にとても有用な薬剤となっています。経口的に投与するほか、経肛門的な製剤もあります。経肛門的には、直腸炎型では主に座薬が、左側大腸炎型では主に注腸液が用いられます。
チオプリン製剤
メサラジン不耐(治療開始1~2週くらいで下痢の増悪・血便・腹痛・発熱などを生じる状態)や、5-ASA製剤のみでは寛解維持ができない場合などで、寛解維持療法として用いられることが多いです。これでも維持できない場合には、寛解維持療法として生物学的製剤(バイオ製剤)・JAK阻害剤などが必要となります。
副腎皮質ステロイド製剤
寛解導入を目的として使用されます。かつてはもっぱらプレドニゾロン経口剤が使用されていましたが、これは有用性が高い一方で、副作用が多いことが問題となっていました。そのため近年は新しいステロイド製剤として、腸管粘膜で効果を発揮した後に素早く肝臓で代謝されることで副作用がかなり抑えられた、ブデソニドが多く使用されるようになってきています。左側大腸炎型では主に注腸フォーム剤が、全大腸炎型では主に大腸で放出されるよう特殊コーティングされた経口剤が用いられますが、いずれも約6週が使用の目途となっています。ただし中等症以上の場合はこれらの治療では十分でないことも多く、プレドニゾロンが必要となることもいまだ少なくありません。
免疫抑制薬・生物学的製剤(バイオ製剤)
中等症~重症・難治例や、ステロイドを切るとすぐに悪化するステロイド依存例、ステロイドが効かなくなってきたステロイド抵抗例などでは、免疫抑制薬や抗TNFα受容体拮抗薬といった生物学的製剤が必要となります。
血球成分除去療法(アフェレシス療法)
人工透析のように血液を体外でろ過し、炎症の原因となる白血球を除去して体内へ戻す治療です。主に顆粒球を除去する顆粒球吸着療法(GCAP)と、顆粒球のほか単球・リンパ球なども除去する白血球除去療法(LCAP)とがあります。以前は寛解導入にしか保険適応がありませんでしたが、最近になり寛解維持療法にも適応が拡大しました。
ほとんどの場合において内科的治療で改善が得られますが、経過で内科的治療での改善が得られなくなってきた場合などでは、外科的な大腸切除術を要することもあります。内科的治療で改善しない重症例のほか、副作用で薬剤が投与できない場合や、止血困難な継続的血便、大腸穿孔、炎症に起因する大腸がんであるcolitis-associated cancer(colitic cancer)などでは手術療法が必要となります。
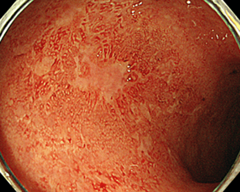
活動期(軽度)潰瘍性大腸炎の像
それよりも炎症の活動性が高く、潰瘍を認める像です。(血管透見消失・粘膜発赤・小黄白色点散在)
こちらは激しい炎症が治癒した後の瘢痕像です。潰瘍性大腸炎は早期に発見して治療を開始することによって、日常生活が送りやすくなるだけでなく、急な増悪から入院になってしまったりする可能性を下げることもできます。また治療で炎症をコントロールし、定期的に大腸カメラを行うことで、炎症由来の大腸がんの発生を抑制し、さらに大腸がんを早期発見することが可能となります。健診での便潜血検査陽性や、下痢・排便時に血が混じるなどの症状が続く際には、放置することなくきちんと消化器病専門医・内視鏡専門医を受診するようにしましょう。
TOP